간편상담
진료시간
오시는길
네이버예약
카톡상담
네이버톡톡
간편 상담
궁금하신 사항을 아래 문의 내용에 입력해주시면
보다 빠르게 전화로 상담을 도와드립니다
이름
연락처
문의내용
개인정보수집동의
개인정보취급방침
치과소개
의료진소개
진료안내
둘러보기
오시는길
치과의 특별함
끊임없는 노력과 연구
3차원 정밀진단
소개환자가 많은곳
인비절라인 인증병원
소통하는 치과
철저한 사후관리
위생적인 멸균 소독
실력있는 의료진
서울대 의료진
치과교정과 전문의
교정전문의 진료
서울대 수석졸업
전담 주치의 책임진료
서울대치과병원 그대로
성인교정
돌출입교정
덧니교정
비발치교정
인비절라인
부분교정
장치별교정
어린이교정
소아교정
청소년교정
치아미백
치아미백
커뮤니티
온라인상담
FAQ
공지사항
02.593.7528
방배디오슈페리움1차
305호
치과의 특별함
끊임없는 노력과 연구
3차원 정밀진단
소개환자가 많은곳
인비절라인 인증병원
소통하는 치과
철저한 사후관리
위생적인 멸균 소독
치과의 특별함
많은 사람들이 찾는 데는 다 이유가 있습니다
의료진의 실력을 증명합니다
끊임없는 노력과 연구
경험의 차이가 결과의 차이를 만든다
끊임없는 노력과 연구로 덧니, 돌출입,
성장기 아동교정, 수술 교정 등
수많은 부정교합을
성공적으로 치료한 풍부한 임상경력의
교정전문의가 상주합니다
" 끊임없는 노력과 연구 "
시작부터 다르다!
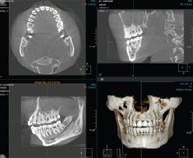
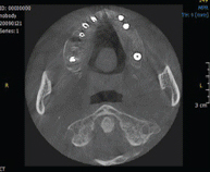
3차원 정밀진단 시스템
얼굴 골격을 빠짐없이 분석합니다
얼굴 골격의 모든 방향을 빠짐없이 촬영하고
치아와 치조골의 상태 및 잇몸뼈의 양과 길이 등의
전반적인 상태를 정확하게 측정하고 진단하여
한치의 오차 없는 시술로 진료의 안정성을 높힙니다.
결과에 만족하니까!
소개 환자가 많은 곳
주변 사람들에게 추천해주고 싶어요
치아교정으로 내원해 치료를 완료한 환자 중
많은 분들이
바른이앤유치과교정과를 소중한 주변
사람들에게 소개해 주고 있습니다
교정결과에 만족하고 소개해 주신만큼
신뢰가 유지될 수 있도록 노력하겠습니다
내 치아에 투명하게!
인비절라인 인증병원
인비절라인도 교정과 전문의에게 받으세요
개인맞춤형 투명 교정장치 인비절라인은
개인의 부정교합 정도와 의료진의 치료계획으로
디자인 되어 만들어집니다.
바른이앤유치과교정과는 itero 구강스캐너로
정확히 스캔하며 교정과 전문의가 오차 없이
개인맞춤형으로 인비절라인을 제작합니다
아이테로
인비절라인
환자도 가족처럼
소통하는 치과
주저하지 마세요. 같이 고민해 드립니다
교정을 시작하려고 고민할때,
교정이 시작되는 긴장의 순간,
교정이 끝나는 설레임의 마지막 순간까지
항상 옆에서 같이 공감해 드리겠습니다
환자와 의료진, 우리가 함께 소통할때
가장 아름다운 미소를 디자인 할 수 있습니다
교정치료 후에도
철저한 사후관리
교정장치를 떼고 난 이후에도 늘 함께합니다
약 1~2년간의 교정 기간을 마무리하고
장치를 떼면 누구나 설렐 수밖에 없습니다
하지만 교정장치를 제거한 후의 사후관리를 제
대로 하지 않으면
회귀현상으로 인해
또 다시 재교정을 진행할 수도 있습니다
바른이앤유치과교정과는 교정장치를 뗀 그 후의 사후관리도
결단코 소홀히 하지 않습니다
기본을 지키는 곳
위생적인 멸균, 소독
깔끔한 소독과 멸균은 치과의 기본입니다
치과에서 사용되는 대부분의 기구들은
환자분의 혈액과 체액이 직접 닿으므로
환자와 환자 사이에 발생할 수 있는
2차 감염을 방지하기 위해
철저한 감염관리 규정을 준수하며
위생관리 전담인력 배치 및 전 직원들을 대상으로
감염관리 교육을 정기적으로 실시하고 있습니다.
사용한 기구 수거 및 분리
사용한 기구 폐기
1차 세척
1차 소독
교정기구 건열소독
세척한 기구 건조
멸균 패킹
고온 고압 증기 멸균
자외선 소독기 보관
체어 및 타구대 소독